Клинический случай
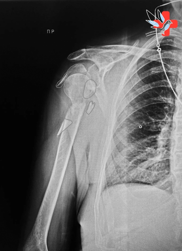
30 января в травматологическое отделение Благовещенской больницы экстренно поступила 78-летняя пациентка после падения дома. Диагностирован перелом плечевой кости, требующий оперативного вмешательства.
Врач-травматолог Сараж Багаутдинович Измайлов успешно провёл сложную операцию — остеосинтез с применением титановой пластины. Благодаря профессионализму доктора и слаженной работе медицинского персонала, пациентка уже выписана домой с положительной динамикой.
Важное напоминание для всех нас
К сожалению, падения дома — частая причина травм у пожилых людей. Просим вас позаботиться о безопасности ваших старших родственников:
Уберите с пола провода и скользкие коврики
Обеспечьте хорошее освещение, особенно ночью
Установите поручни в ванной комнате
Положите телефон в доступное место
Берегите своих близких! Профилактика травм всегда лучше, чем даже самое профессиональное лечение.
Врач-травматолог Сараж Багаутдинович Измайлов успешно провёл сложную операцию — остеосинтез с применением титановой пластины. Благодаря профессионализму доктора и слаженной работе медицинского персонала, пациентка уже выписана домой с положительной динамикой.
Важное напоминание для всех нас
К сожалению, падения дома — частая причина травм у пожилых людей. Просим вас позаботиться о безопасности ваших старших родственников:
Уберите с пола провода и скользкие коврики
Обеспечьте хорошее освещение, особенно ночью
Установите поручни в ванной комнате
Положите телефон в доступное место
Берегите своих близких! Профилактика травм всегда лучше, чем даже самое профессиональное лечение.
Галерея
Возврат к списку





